通讯员薛文报道:《文心雕龙》一书中曾说到,“观千剑而后识器,操千曲而后晓声”这是古代圣人对技艺大师的理解,仔细揣摩这句话之后,发现它同样可以来诠释外科医生现在的工作,不同的是,我们肩负着更大的责任和使命。
肝脏是人体最大的消化腺,它分为五叶八段,有两套独立的血供系统,有丰富的胆管、血管、淋巴管道,解剖错综复杂,被称为人体的消化和解毒工厂,而肝胆外科医生就是这个精密工厂的守护者。近日,衡阳市中心医院肝胆外科利用新引进的3D腹腔镜设备完成了多台腹腔镜下面半肝切除手术,该设备比普通腹腔镜更清晰,立体感更强,不需要打开腹腔,其复杂的解剖和精细的操作均通过小小的“钥匙孔”来完成。
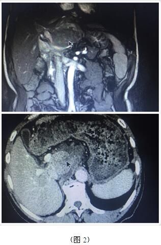
70岁高龄的曹奶奶是一个胆内胆管结石、胆总管结石、胆囊结石的高龄患者,由于结石部位多发(图1),当地医院多次住院治疗,均建议开大刀切除部分肝脏;同样患肝脏肿瘤的张爷爷,由于肿瘤位于肝脏尾叶,而且压迫腹腔大血管(图2),寻遍多家医院都只能开腹手术切除,听说衡阳市中心医院腹腔镜手术技术成熟遂慕名而来。肝胆外科周玖桥主任和李鑫副主任医师仔细分析病情后决定为俩位患者行3D腹腔镜手术。
穿戴整齐,医护合作,麻醉支持;精细解剖,逐步分离,切除病灶。在团队合作下,两台腹腔镜肝脏部分切除顺利完成。由于全程腹腔镜下操作,手术创伤小,加之术后快速康复理念的实施,不论是结石患者还是肿瘤患者都迅速康复出院(图3、4)。
有人评价外科手术无非就是“庖丁解牛,唯手熟尔”,在技术和设备不断更新的今天,市中心医院肝胆外科紧跟时代步伐,在手术和治疗过程中化腐朽为神奇,将不可能变为可能,将病人的健康和幸福放在第一位!庖丁解牛,唯手熟尔的时代已经一去不复返了!



